 隨著醫療的進步,現今我們能夠應用影像分析軟體結合牙科電腦斷層拍攝和臉部掃描,預估手術前後的外觀狀況,讓患者可以對於手術和術後結果有更具體的理解,提高對手術的信賴感和安全感。
  隨著醫療的進步,現今我們能夠應用影像分析軟體結合牙科電腦斷層拍攝和臉部掃描,預估手術前後的外觀狀況,讓患者可以對於手術和術後結果有更具體的理解,提高對手術的信賴感和安全感。
  
電腦模擬正顎手術
* 案例A
  「A為一位牙齒咬合不正合併顏面骨頭前突的患者,此次經過介紹來本院口腔外科門診諮詢,儘管經過影像的評估和門診費時地詳細說明,A仍舊無法對於這項十分陌生的手術有完整的想像,尤其是對於手術後的自己究竟會變成甚麼樣子,一點頭緒都沒有,太多的未知讓A感到害怕,尤其這又是一項所費不貲的手術…」。
  
  根據文獻統計,使用電腦模擬輔助手術導板製作可以侷限移動誤差在2mm、旋轉角度誤差在0.3度以內,相較於傳統單純靠平面影像分析和手術中直接徒手移動可有效提高精準度和降低手術時間,幫助許多有這方面需求的患者。 
  
齒瘤治療
* 案例B
  「B為一位齒瘤患者。齒瘤是一種顎骨的良性齒源性腫瘤,通常由口腔內進行手術。由於齒瘤的位置位在牙齒之間,B很擔心會不會在摘除齒瘤的時候需要把外層的骨頭磨掉,因此不小心傷到旁邊的牙齒,也希望可以傷口儘量越小越好…」。
  
  在處理齒瘤時,有的齒瘤邊緣和周圍骨頭有一些空間,手術中可以很好地判別並且取出,但有一些形狀特殊甚至繞住鄰近的牙根,有一些可能會由很多小顆的齒瘤組成,中間還有一些突起的骨頭將它們分開,形成多個小房間的樣子,也有一些會錯落在牙根的附近甚至貼緊牙根之間,視野不佳導致在手術中無法很好地判別是否拿乾淨,或是不小心會稍微影響到鄰近的牙根,偶爾會遇到手術後拍攝影像時發現還有漏網之魚,需要二次手術確保齒瘤摘除乾淨,這些是我們希望儘量減少發生的狀況。
  
  B的齒瘤即是屬於形狀特殊且繞住鄰近牙根的狀況,不小心就很容易傷到健康的牙齒,為了達到要求和期待,我們搭配牙科電腦斷層和導航系統,在手術時,藉由導航系統的輔助精準定位齒瘤位置,一方面減少磨掉過多骨頭、避免傷害周圍的牙齒,一方面也提高手術效率、減少手術時間,手術滿意度大大提升。
  
植牙手術
* 案例C
  「C為一位植牙手術患者,在網路上搜尋許多相關資料,也與許多朋友討論,卻越聽越害怕,很擔心植牙的位置會不會種歪、不準,還是說打到旁邊的牙根反而傷害到其他牙齒,或是植牙時傷害到神經產生其他不必要的問題,C來到門診時帶著滿滿的擔憂…」。
  
傳統的植牙手術
  從一般平面影像到出現牙科專用的低輻射電腦斷層可在手術前評估植牙區域是否有骨頭不夠、靠近上顎竇或是神經,已經有很大的進步,至少可以手術前事先計畫,但往往影像上的評估搭配醫師經驗在實際手術時還是有不少誤差和預期之外的狀況發生,該如何將理想的模擬計畫精確轉移到實際手術讓結果符合預期,是過去一直想克服的問題。
  
電腦斷層合併導航輔助植牙
  如今,我們採用牙科電腦斷層合併導航輔助植牙的方式,在手術前即可在電腦模擬好植牙的角度和深度,並同時避開危險的區域,像是神經或是鄰近的牙齒,也讓患者在手術前清楚知道手術計畫,降低擔憂的同時增加信心。手術中,搭配使用導航系統輔助醫師按照模擬計畫精準的完成植牙手術,大幅提高成功率也減少許多手術時間和降低併發症。
結語
  電腦斷層的資料作為輔助,能夠及時掌握危險區域,相對來說安全許多,而且手上的鑽針系統也能夠馬上判讀角度、深度、位置,類似我們是使用的行車GPS導航的概念,仔細監控一切的即時資訊、遠離高風險地區,使得植牙大幅提升成功率。
牙科部口腔顎面外科主任 楊濡瑄醫師網頁連結介紹
專長:口腔植體(植牙)及重建、口腔顎面囊腫及拔牙手術、顎顏面外傷及骨折、口腔顎面良性腫瘤、正顎手術、口腔顎面惡性腫瘤
https://www.femh.org.tw/section/sectionDetail2?CID=0270&&DoctorID=95188

 
圖一、電腦模擬正顎手術骨頭移動和外觀改變 (來源提供: 楊濡瑄醫師)
 
 


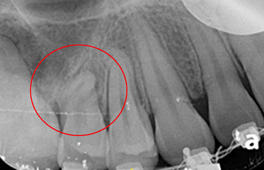
 圖二、導航輔助齒瘤切除手術(來源提供:李慶璿醫師)
圖二、導航輔助齒瘤切除手術(來源提供:李慶璿醫師)
(左上)手術前,齒瘤纏繞鄰近牙齒的牙根。(左下)手術後,齒瘤完整摘除且鄰近的牙根完好無暇。(右)醫師手術中使用導航輔助摘除齒瘤手術。

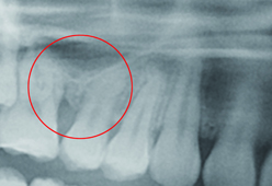
 圖三、電腦模擬搭配導航植牙手術 (來源:楊濡瑄醫師)
圖三、電腦模擬搭配導航植牙手術 (來源:楊濡瑄醫師)
(左)手術前用電腦模擬植牙位置。(右)手術中利用導航系統精準植牙在計畫位置。