
Specialties: Coronary artery disease, cardiac catheterization and stent placement, heart failure, arrhythmia, syncope
For patients diagnosed with Atrial Fibrillation (AFib), preventing
ischemic stroke is the primary treatment goal. The traditional method of
prevention involves long-term use of oral anticoagulants (blood thinners).
However, the associated risk of bleeding, especially for high-risk patients,
often becomes a major burden.
I. The Link
Between AFib and the Left Atrial Appendage: Origin of Stroke
To understand the stroke risk, we must
focus on changes in the heart during AFib. When AFib occurs, the heart's
electrical activity is chaotic, causing the atrial walls to twitch rapidly and
irregularly. Blood is not pumped out effectively, leading to slow flow and "stasis" within the atria.
In the left atrium, there is a small,
pouch-like structure called the Left
Atrial Appendage (LAA). Due to its complex, "wrinkled" internal
structure and the resulting blood stasis, the LAA is the principal site of thrombus (blood clot) formation related to AFib.
Large-scale studies confirm that over
90% of AFib-related blood clots originate here.
When a clot formed in the LAA breaks off,
it travels through the aorta and carotid arteries into the brain, blocking a
blood vessel and causing a fatal ischemic
stroke. The goal of LAAO is to block this dangerous source of clots at its
origin.
II. Left Atrial
Appendage Occlusion (LAAO): The Minimally Invasive Sealing Strategy
Left
Atrial Appendage Occlusion (LAAO) offers a safe and
effective alternative for patients who are unsuitable for or unwilling to take
long-term oral anticoagulants. The core concept of the procedure is
straightforward: since the LAA is the main source of clots, a minimally
invasive catheter technique is used to permanently
"seal" it off, preventing blood from entering and entirely
eliminating the potential for clot formation.
The procedure avoids open-chest surgery
and is performed via cardiac catheterization:
● Device Implantation: The physician inserts a specialized Occluder device through the femoral vein (in the groin area) and
guides it into the heart.
● Principle: The Occluder is made of Nitinol
(a nickel-titanium alloy), a shape-memory metal. It is compressed within the
catheter and automatically expands to perfectly fit and seal the LAA opening
upon release.
● Permanent Barrier: Over time, the heart's endothelial cells and tissue grow over the
device, creating a permanent tissue barrier. This permanently isolates the LAA
from the main atrium, fundamentally eliminating the risk of clot release.
III. Target
Patients: Who Needs LAAO the Most?
LAAO primarily targets the following
categories of high-risk AFib patients:
● Patients with High Bleeding
Risk or Bleeding History: This is the most critical
patient group, including those with a history of spontaneous intracranial
hemorrhage, gastrointestinal bleeding, or recurrent severe bleeding. For them,
the long-term risk of anticoagulation far outweighs the benefit.
● Patients with Breakthrough
Stroke Despite Anticoagulation: Those who still suffer
an ischemic stroke despite regular anticoagulant use may require a more
aggressive preventive measure.
● Patients Unable to Comply
with Long-Term Medication: Individuals with lifestyle,
occupational, or personal factors (such as severe drug side effects) that make
daily, regular medication adherence difficult.
● Patients at High Risk of
Falls: Elderly patients or those with poor
balance/unsteady gait are at high risk of life-threatening internal bleeding
(like cerebral hemorrhage) if they fall while on anticoagulants.
IV. Procedure
Steps and Post-Procedure Keys
The procedure is typically performed in a
catheterization lab and takes about two hours.
1. Pre-Procedure
Preparation
The physician conducts a thorough
evaluation, including:
● Cardiac Computed Tomography
(CT): Crucial for precisely measuring the LAA's size,
shape, and 3D structure.
● Intracardiac Echocardiography
(ICE) / Transesophageal Echocardiography (TEE): Used
for auxiliary clot detection and real-time intra-procedural image guidance.
Notably, the use of ICE allows the
procedure to be completed under local
anesthesia, reducing risks associated with general anesthesia.
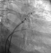
2.
Intra-Procedure Steps
● Access and Positioning: A small incision is made in the groin, and the catheter is inserted
via the femoral vein.
● Real-Time Guidance: Using the dual, real-time
guidance of ICE or TEE and X-ray fluoroscopy, the catheter is precisely
delivered and safely advanced across the interatrial septum into the left
atrium.
● Implantation and
Confirmation: The selected Occluder is released,
expanding securely into the LAA opening. The physician performs multi-angle
checks to ensure the position is stable and there is no residual leak.
3. Post-Procedure
Care
● Short-Term Medication: Initially, patients require dual
antiplatelet therapy (such as aspirin and clopidogrel) to prevent clot
formation on the device surface before tissue growth is complete.
● Follow-up: Regular follow-up with cardiac ultrasound is essential to confirm
device stability, absence of leaks, and complete tissue coverage. Medication is
then gradually adjusted or discontinued based on these results.
V. Potential
Risks
While LAAO is a relatively safe and
mature procedure, potential risks exist:
● Pericardial Tamponade: An extremely rare but serious complication where the heart wall is
perforated, causing blood accumulation and heart compression.
● Device Dislodgement or
Embolization: The device may detach from its original
position, requiring a second procedure for retrieval or re-implantation.
● Post-Procedure Thrombus: Clots may form on the device surface if post-procedure antiplatelet
medication is not adhered to diligently before tissue overgrowth occurs.
Conclusion
Left Atrial Appendage Occlusion offers a safe and effective minimally invasive
stroke prevention solution for AFib patients who are unsuitable for
long-term anticoagulation. By fundamentally addressing the source of blood
clots, it significantly lowers the risk of ischemic stroke and improves the
patient's quality of life, free from the daily burdens of blood thinners.
Before deciding on a
treatment plan, please consult thoroughly with your Cardiologist to fully understand your personal health status,
risks, and benefits, and jointly determine the most suitable personalized
treatment decisio
Figure
1. LAAO implantation under ICE guidance, which can be safely performed under
local anesthesia