:::

醫療新聞

  • 2021年03月08日
  • 健康2.0 朱育嫻

胸痛不一定是心臟問題!「1種病」也會胸痛胸悶,敢輕忽小心休克

別以為「胸痛」就是心臟有問題。一位身材高瘦、愛打籃球的高中生,日前在打球時突然感到右胸疼痛,症狀緩解後沒再多理會;後來某次打球時右胸突發劇痛,開始喘且呼吸困難,被小型醫院診斷為「氣胸」,轉往大醫院緊急處置後,醫師表示,還好患者即時就醫,否則可能引發休克。

 
「自發性氣胸」常見年輕、高瘦的男性
亞東醫院小兒外科醫師夏肇聰 說明,氣胸分為「自發性」和「外因性」。自發性氣胸常見於年輕、身材高瘦的男性,其中也有小部分年輕族群的自發性氣胸是因肺部疾病所引起,如肺結核;外因性氣胸則通常是由外傷引起,例如車禍、碰撞等,這類病患通常會合併肋骨骨折或氣管的外傷。

氣胸和抽菸或二手菸,有非常大的關聯性
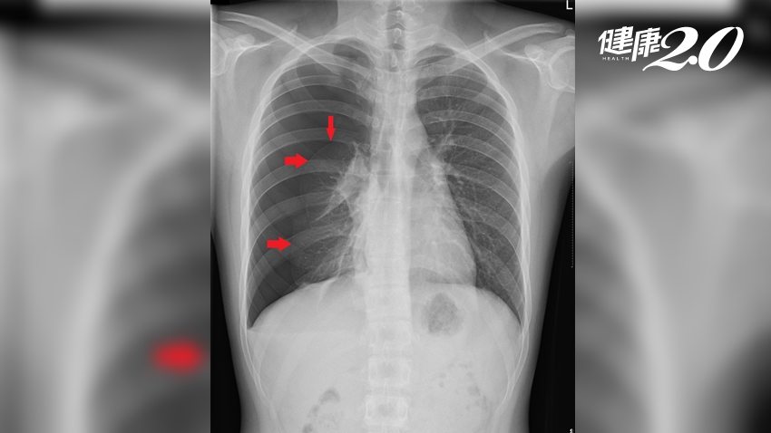
夏肇聰 進一步解釋,氣胸是因為肺臟的肺泡破裂或是囊腫破裂,使空氣從肺泡進入肺臟與胸壁之間的腔室,造成氣體在肋膜腔內蓄積,壓迫到肺臟,造成肺臟無法擴張,進而引起胸悶、胸痛、氣喘等症狀。如果輕忽,可能會進一步惡化成「張力性氣胸」,導致心臟受到壓迫,血液無法回流到心臟,引發休克,嚴重者甚至會死亡。

20210308112826-79396808
 
夏肇聰 提醒氣胸患者,要注意避免氣壓變化大的活動,例如潛水、跳水、高空跳傘等。此外,氣胸和抽菸有非常大的關聯性,除了建議戒菸外,更要盡量避免暴露在二手菸環境中。醫師指出,高瘦的國、高中男生若出現胸悶、胸痛、氣喘等症狀,都要非常小心,應盡快到設有小兒外科的醫療院所就醫。

氣胸患者2年內復發率為25%
在治療上,通常較輕微的氣胸,會利用氧氣治療;若是已經出現症狀或是氣胸面積較大者,就會建議置放引流管。夏肇聰指出,一般氣胸患者在2年內的復發率為25%,若不幸二次氣胸,復發率將上升至60%。建議如果接受保守治療卻還是一直漏氣或復發的患者,可諮詢小兒外科或胸腔外科,尋求手術治療。

而常見的氣胸手術方式有傳統開胸手術,以及胸腔鏡微創手術,夏肇聰 表示,胸腔鏡手術是目前主流的治療方法,臨床指出,接受手術的氣胸復發率可降到5%以下,相較於傳統手術,患者術後的疼痛感也降低。