Specialties: Gallbladder diseases, single-port robotic arm surgery, cholecystectomy, robotic arm hernia repair surgery, differential diagnosis of abdominal pain
Some stories begin with
something as simple as upper abdominal pain.
Late one night, a
middle-aged woman arrived at the emergency department, pale and clutching her
upper abdomen.
“Doctor, is this just stomachache?” she
asked.
This question is heard
countless times in emergency rooms.
But for trauma surgeons, every episode of
abdominal pain may signal a very different underlying disease.
After evaluation, she was diagnosed with
acute cholecystitis—a common yet potentially serious condition.
Its origin, in fact,
often lies in a problem many people carry unknowingly: gallstones.
A Small
Gallbladder, A Big Medical Challenge
The gallbladder is a
small sac located beneath the liver, responsible for storing and releasing bile
to aid in fat digestion.
When bile composition
becomes imbalanced, gallstones may form.
Many individuals live
with gallstones without symptoms, a condition known as asymptomatic
cholelithiasis.
However, when a stone
becomes lodged in the gallbladder outlet and causes obstruction, symptomatic
gallstone disease may develop.
Typical symptoms include
severe right upper quadrant or epigastric pain, nausea, vomiting, and sometimes
radiation of pain to the back or right shoulder.
In addition, gallbladder
polyps may also be detected incidentally.
Dr. Chang notes:
“If a gallbladder polyp
is larger than 1 centimeter, associated with gallstones, or has an irregular
shape, surgical removal is recommended due to the potential risk of malignant
transformation.”
Three Major
Complications of Gallstones
If left untreated,
gallstones may lead to three common and serious complications:
1.
Cholecystitis
Obstruction of bile outflow causes
gallbladder inflammation, leading to persistent right upper abdominal pain,
fever, and sometimes chills.
2.
Cholangitis
When gallstones migrate into the bile duct
and cause obstruction and infection, patients may develop high fever and
jaundice. This condition can rapidly progress to sepsis and is potentially
life-threatening.
3.
Biliary Pancreatitis
Gallstones lodged at the pancreaticobiliary
junction can trigger reflux of pancreatic enzymes, resulting in severe
epigastric pain, vomiting, and even shock.
Dr. Chang emphasizes:
“Persistent upper
abdominal pain, fever, jaundice, or pain radiating to the back should prompt
immediate medical attention. Delaying care may result in emergency surgery or
even endanger life.”
From Multi-Port
to Single-Port: A Surgical Precision Revolution
Traditionally, gallbladder removal was
performed using multi-port laparoscopic surgery, requiring three to four small
abdominal incisions. Although far less invasive than open surgery, these
incisions can still cause visible scars and postoperative discomfort. In recent
years, the Department of Trauma Surgery at Far Eastern Memorial Hospital has
introduced Robotic Single-Incision Cholecystectomy using the da Vinci system.
This technique requires only a single incision of approximately 2.5 cm at the
umbilicus.
Through this single access point,
high-definition optics and articulated robotic instruments enter the abdomen to
complete the procedure.
Dr. Chang highlights the advantages of
single-incision robotic surgery:
l
Nearly invisible scarring (hidden within the umbilical fold)
l
Less postoperative pain and faster recovery
l
Shorter hospital stay and quicker return to daily activities
With a smile, he adds:
“Many patients are out of
bed the next day, and some even ask at follow-up, ‘Doctor, did I really have
surgery?’”
High-Tech with a Gentle Touch: The da Vinci Robotic System
The robotic system provides up to 10-fold
magnified vision and highly flexible wristed instruments, enabling precise
maneuvers in confined spaces. Importantly, the robot does not operate
autonomously. Every movement is controlled directly by the surgeon at the
console, translating human intent into precise action.
“The robotic system
enhances the surgeon’s stability and dexterity while improving patient safety,”
Dr. Chang explains.
“It does not replace the
surgeon—it extends human capability.”
This technology represents a paradigm shift
in modern surgery: from merely treating disease to delivering care that
balances precision, aesthetics, and quality of life.
A Patient’s Story
The woman who arrived with severe nocturnal
epigastric pain was confirmed to have acute cholecystitis. The surgical team
initiated the robotic single-incision protocol, completing the procedure
smoothly in approximately 90 minutes.
She was able to ambulate and resume oral
intake on the same day, and was discharged the following day. At her follow-up
visit one month later, she smiled and said,
“Doctor, I can’t even see a scar on my
abdomen.”
That moment brought smiles to everyone in the
clinic.
Dr. Chang reflects:
“The trust and
reassurance our patients feel—that is what we strive to protect. No matter how
advanced technology becomes, nothing surpasses the joy of seeing a patient
regain health with confidence.”
Conclusion | From
Pain to Hope
For patients, an episode of upper abdominal
pain may seem like an isolated event.
At Far Eastern Memorial
Hospital, we see it as an opportunity—to reduce suffering and restore quality
of life.
The transition from multi-port laparoscopy to
single-incision robotic surgery marks a technological revolution.
The journey from fear to
reassurance reflects the human side of medicine.
“Trauma surgery is not
only about saving lives,” Dr. Chang concludes.
“It is also about caring
for the details of daily living.
Our goal is not just to
treat patients—but to help them truly return to life.”
This is the direction we continue to pursue
at Far Eastern Memorial Hospital—
using technology to add
warmth to medicine, and expertise to bring health closer to every patient.
Keywords: Upper abdominal pain, gallstones,
cholecystitis, gallbladder polyps, biliary pancreatitis, single-incision
surgery, da Vinci robotic system, trauma surgery
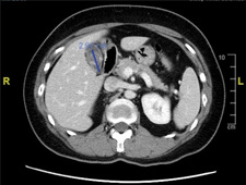
Figure
legends:
A.CT scan showing a 3-cm gallstone
filling the gallbladder.
B. Intraoperative fluorescent
cholangiography integrated into the da Vinci system, clearly delineating
biliary anatomy to prevent injury.
C.Surgeon console, allowing stable and
precise remote control of robotic instruments.

The CT scan showed a 3-centimeter gallstone that completely filled the gallbladder.

Intraoperative bile duct fluorescence imaging, combined with the built-in da Vinci robotic arm, allows for clear visualization of the bile duct structure, preventing injury.

The surgeon's console allows for remote control of a robotic arm to perform surgery using a flexible wrist and stable telescopic technique.